Главная
/
Детская ортодонтия
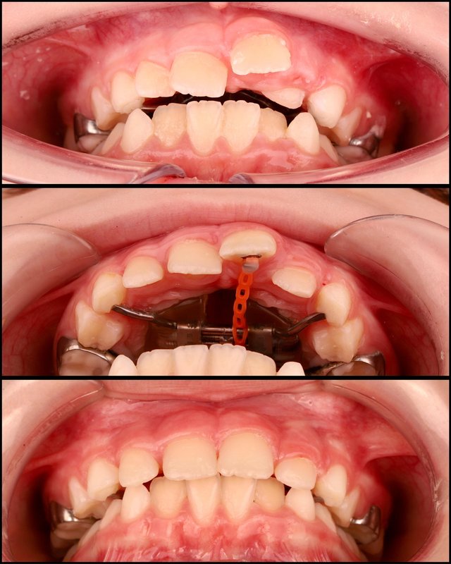
Детская ортодонтия в Медицинском центре Ayat
Цена:
1500-3500
руб.
Цены на услугу
-
Детская стоматология
-
Реставрация передних зубов материалом Asteria
3500 руб.
-
Фторирование зубов
1500 руб.
-
Кариес молочного зуба + металл. коронка
3000 руб.
-
Кариес молочного зуба
3000 руб.
-
Герметизация фиссур (молочные зубы)
1600 руб.
-
Удаление молочного зуба
1500 руб.
-
Реставрация передних зубов материалом Asteria
Акции и скидки
Комплексная чистка зубов от 3500 руб
Срок действия
Постоянная акция
Седация от 2000
Срок действия
Постоянная акция
Анестезия Севоран по супер цене
Срок действия
Постоянная акция
Фотогалерея
Отзывы
3,0
Патимат
Комментарий:
Мягко говоря я разочарована, и даже несколько возмущена. Мы не первый раз посещаем стоматолога. Но в этой клинике были впервые. Записались на 18:30, нас приняли около 19:30.
После лечения сказали врачу, что пломба мешает, но врач настоял, что это кажется из-за анестезии и ее можно придти и поправить. Придется приходить и поправлять. Так еще и пломба выделяется на зубе.
Иными словами за такие деньги в такой зарекомендовавшей себя клинике нам нужно еще и приходить поправлять работу. Тогда как в других клиниках нас принимают вовремя так еще и сразу всю работу делают хорошо.
16 февраля 2026 Отзыв взят с сайта Zoon.ru
5,0
Патимат
Мы были на консультации, проконсультировали быстро, долго не ждали, приняли практически без очереди, потому что ребенок был особенный. Доктор была внимательная, аккуратная и вежливая, хотя ребенок не очень дал посмотреть. Консультацию получили в полном объеме, примерно посчитали, во сколько обойдется лечение зубов.
25 ноября 2025 Отзыв взят с сайта Zoon.ru
5,0
Шахбан
Записаться смогли в течение дня. Сделали рентгеновский снимок перед процедурой. Удаление зуба провели быстро и без боли, за полчаса. Сначала пытались вылечить зуб, но так как он был сильно поврежден, приняли решение удалить его. Персонал был внимательный, а доктор профессионально и понятно общался, что произвело хорошее впечатление.
25 ноября 2025 Отзыв взят с сайта Zoon.ru
5,0
Аминат
Персонал встретил меня вежливо, приятно и внимательно. Ортодонт показал себя грамотным специалистом на приёме, консультация прошла профессионально! Все нюансы подробно объяснил, рассказал и показал по нашей проблеме с кривыми зубами у 8-летнего ребёнка. Мы пришли с конкретным вопросом, врач понятно разъяснил причины и возможные решения.
24 ноября 2025 Отзыв взят с сайта Zoon.ru
5,0
Патя
Подход врача произвел на меня отличное впечатление! Убеждена, что здесь трудятся превосходные специалисты. Мне выполнили лечение и поставили коронки, итог меня целиком удовлетворил. Сервис тоже был качественным.
24 ноября 2025 Отзыв взят с сайта Zoon.ru
5,0
Джавгарат
У двух детей в этом центре лечили кариес, ставили коронки и проводили удаление зубов под седацией. Все процедуры были выполнены качественно и аккуратно.
24 ноября 2025 Отзыв взят с сайта Zoon.ru
5,0
Сакинат
Хочу выразить благодарность за комфорт и хорошее лечение! Мы экстренно обратились, у ребенка болел зуб и нас приняли в тот же день. Для моего сына с аутизмом большое пространство - это огромный плюс, его ничто не угнетает. Плюс доктор нашел к нему правильный подход. Зал ожидания для родителей тоже очень удобный.
22 ноября 2025 Отзыв взят с сайта Zoon.ru
5,0
Амина Азизова
Обслуживание было на исключительном уровне: от работы персонала до девушки на кассе, которая все очень понятно объясняла. Врач, лечившая зуб, проявила особую бережность и внимание к ребенку. Провели удаление зуба и лечение другого зуба без полной анестезии, используя обычное обезболивание, все прошло настолько аккуратно, что ребенок даже не испугался. После процедуры дали подробные и понятные рекомендации, включая прием антибиотиков. Сейчас ребенок чувствует себя очень хорошо, без каких-либо осложнений. Мы посещаем этот центр уже много раз, примерно с 5 лет, каждый раз получаем одинаково качественную помощь.
13 ноября 2025 Отзыв взят с сайта Zoon.ru
5,0
Максалина
Процедуру удаления сложного прогнившего коренного зуба выполнили быстро и профессионально. Ребенок ушел спокойный и довольный, что для меня было главным показателем. Доктор работал очень аккуратно, а после удаления нам выдали подробные рекомендации на бумаге с 5-6 пунктами, которые помогли в дальнейшем уходе. Отношение к ребенку было внимательным и бережным!
13 ноября 2025 Отзыв взят с сайта Zoon.ru
5,0
Курбан
Нас порадовал прекрасный результат: у ребенка отломился зубик, ему поставили пломбу так аккуратно и незаметно, что все выглядит идеально. Процедура прошла без седации, врачам это удалось благодаря профессиональному подходу. Ребенка смогли отвлечь спокойной беседой, а обезболивающий укол сделали настолько незаметно, что он даже не понял этого. Несмотря на его гиперактивность, он не плакал и чувствовал себя комфортно. Условия были вполне комфортными, я не могу ни на что пожаловаться.
12 ноября 2025 Отзыв взят с сайта Zoon.ru
4,0
Тина
Пришла на консультацию с ребенком к стоматологу-терапевту. Очень понравилась клиника: современное красивое оборудование и хорошее освещение. Встречали доброжелательно, администратор на втором этаже объяснил процесс и последовательность приёма. Общение было приятным, нам все подробно разъяснили.
8 ноября 2025 Отзыв взят с сайта Zoon.ru
5,0
Муса
Остался очень доволен качеством работы и отношением персонала, особенно лечащего врача-стоматолога Халилова Тагира. У меня было лечение и установка коронок, доктор внимательно объяснил все детали лечения, дал рекомендации по гигиене полости рта и посоветовал гель для десен. Атмосфера была теплой и доброжелательной.
8 ноября 2025 Отзыв взят с сайта Zoon.ru
5,0
Фатима
Понравился доброжелательный персонал, врач-ортодонт всё сделал идеально. К ребенку хорошо относились при осмотре, пытались наладить контакт, ждали, пока ребенок успокоится, только потом продолжили прием. После приема дали рекомендации продолжать лечение, носить аппарат, делать массажи и укреплять мышцы рта.
8 ноября 2025 Отзыв взят с сайта Zoon.ru
5,0
Севиля
Очень довольна отношением врачей и ценами в медицинском центре. Особенно запомнилась ортодонт Дана, очень приятная девушка, которая устанавливала ребенку пластину для расширения верхней челюсти. Найти подход к ребенку ей удалось отлично. Персонал проявлял уважение, прием был организован на высоком уровне: встречали и провожали, создавая комфортную атмосферу. Цены здесь оптимальные, сравнивая с другими местами, где лечили под седацией, это лучший вариант.
8 ноября 2025 Отзыв взят с сайта Zoon.ru
5,0
Патимат
Здесь опытные специалисты и хороший подход к пациентам, мы посещаем центр около 2 лет. Ребенку установлены брекеты и наблюдение и лечение ведет замечательный ортодонт, который все объясняет доступно. За несколько месяцев с сентября 2024 года ходим регулярно на коррекцию брекетов и лечились у других стоматологов центра, лечение прошло хорошо, мы довольны.
8 ноября 2025 Отзыв взят с сайта Zoon.ru
5,0
Патимат
Провели процедуру чистки хорошо, всё сделали строго по правилам, чисто и аккуратно. Доктор проявила себя как вежливый и внимательный специалист, что особенно ценно при таких процедурах. После сеанса получила подробные объяснения о дальнейшем уходе: что можно делать, а что нельзя. Для меня как для клиента важнее всего оказались индивидуальный подход и внимательное отношение к пациенту.
7 ноября 2025 Отзыв взят с сайта Zoon.ru
5,0
Раиса
Доктор ответственно подошёл к своей работе и качественно вылечил зуб моему ребёнку. Отношение к маленькому пациенту было очень хорошим и внимательным. Нас приняли сразу, без ожидания - всего через 5 минут после приезда. Персонал центра встретил нас приветливо, запись на приём организовали оперативно. Обратились сюда по направлению из нашего района.
7 ноября 2025 Отзыв взят с сайта Zoon.ru
5,0
Наргиля
Профессионализм врача Сабины Шахпасовны меня очень порадовал, она работала быстро и дала правильные рекомендации. Больше всего я оценила её подход к ребёнку: приятные, вежливые отношения, лечение прошло без седации. Я сама врач, но не стоматолог, поэтому могу оценить качество работы. С ребёнком была первый раз, до этого обращалась в центр сама и осталась довольна.
30 октября 2025 Отзыв взят с сайта Zoon.ru
5,0
Патимат
Стоматолог Сабина Шахапасовна делает отличные коронки после лечения зубов, особенно качественно работает с детьми. Она детально рассказывает о процессе лечения, объясняет необходимые процедуры и предостерегает от ненужных действий, дает полезные рекомендации. Услугами этого медицинского центра я всегда остаюсь довольна.
30 октября 2025 Отзыв взят с сайта Zoon.ru
5,0
Марат
Пришёл в этот центр по рекомендации друзей и ни разу не пожалел. С момента первого визита прошло много времени, но зубы до сих пор в идеальном состоянии, никаких следов кариеса или повреждений. Врач показал высокий уровень мастерства и внимательное отношение к пациентам. До этого обращался в другие клиники, где пломбы быстро выходили из строя, а здесь у моих детей они держатся уже два года без нареканий. Чувствуется настоящая забота о качестве работы.
30 октября 2025 Отзыв взят с сайта Zoon.ru
5,0
Шахру
Мне очень нравится, как врачи общаются с детьми в этом центре! Доктор умеет найти подход к ребенку во время лечения и уколов, проявляет деликатность и терпеливость, что для меня как для родителя особенно ценно. Благодаря мягкому обращению и профессионализму специалистов визиты в центр проходят комфортно и спокойно для всей нашей семьи.
29 октября 2025 Отзыв взят с сайта Zoon.ru
5,0
Земфира
Я обратилась на консультацию к ортодонту Саиду Руслановичу Ахмедову, и она оказалась действительно полезной. Доктор подтвердил, что моему ребенку необходимо хирургическое вмешательство, а не просто установка брекетов. Изначально я рассматривала возможность провести операцию здесь, однако он честно порекомендовал продолжить лечение в той клинике, где мы его начинали. Меня особенно порадовало, что мнение врача полностью совпало с тем, что нам говорили в Москве. Очень ценно, когда специалист говорит правду и не обещает решить проблему любыми средствами ради привлечения пациента.
29 октября 2025 Отзыв взят с сайта Zoon.ru
5,0
Алиса
Стоматолог отлично поработала с моим мальчиком и детально объяснила все нюансы ухода за зубами и правильной чистки. Меня полностью устроил персонал клиники, доступные цены и дружелюбная атмосфера. Кабинеты оказались удобными для посещения. Как специалист врач показала себя с лучшей стороны, предоставив подробные разъяснения по каждой мелочи. Лечение зубов у ребенка прошло на высоком уровне, и я осталась довольна качеством оказанных услуг.
29 октября 2025 Отзыв взят с сайта Zoon.ru
5,0
Катя
Лично я ходила в этот медицинский центр, моя дочка тоже, мы оба остались в полном восторге! Компетентность на высшем уровне, от регистратуры до врачей, чистота, аккуратность, вежливость и, главное, знание своего дела. Особенно хочу отметить нашего ортодонта, молодая девушка с необычным именем, но какая профессионалка! Очень тактично и внимательно отнеслась к ребенку, сразу поняла суть проблемы. До этого были в двух других клиниках, разочаровались, а здесь всё идеально.
28 октября 2025 Отзыв взят с сайта Zoon.ru
5,0
Галина
Мне понравилось, как врачи относятся к пациентам. Мы приводили ребенка для установки короно, и доктор-стоматолог сумел найти к нему подход, процедура прошла успешно. В целом остались довольны качеством обслуживания!
26 октября 2025 Отзыв взят с сайта Zoon.ru
5,0
Анонимный пользователь
Я осталась очень довольна профессионализмом и качеством лечения! Раньше другой врач советовал лечить только четыре зуба, но здесь врач выявила и пролечила целых девять. Для меня и моего супруга было важно получить корректное и тщательное лечение для нашего ребенка. Доктор проявила внимание, подробно рассказала о процессе и дала полезные рекомендации по применению геля и пластин. Ребенок перенёс наркоз, сейчас кариеса не осталось!
18 октября 2025 Отзыв взят с сайта Zoon.ru
5,0
Расул
С ребенком в этот медицинский центр я обратился для лечения зубов под наркозом. Врачи детально осмотрели малыша, а весь персонал встретил нас очень дружелюбно. Меня порадовало, что доктора постоянно поддерживали контакт со мной, всегда были готовы ответить на вопросы и дать необходимые консультации. Качество обслуживания действительно поразило меня.
18 октября 2025 Отзыв взят с сайта Zoon.ru
5,0
Анонимный пользователь
Я пришел в медицинский центр со своим ребенком, нам оказали услугу на отлично. Нас проконсультировали детские стоматологи, они провели визуальный осмотр. Ко мне отнеслись деликатно, а к моему особому ребенку проявили лояльное отношение, никаких конфликтных ситуаций я не наблюдал. Врачи сказали, что всё в порядке и с возрастом зубки поменяются. Это был уже наш второй визит, ранее мы лечили здесь зубы под седацией, тогда тоже не было никаких проблем.
15 октября 2025 Отзыв взят с сайта Zoon.ru
5,0
Фарида
Отличный профессионализм врачей и подход к ребенку. После лечения зубов под наркозом, где лечили глубокий кариес вторых маляров, зубы не болят, ребенок активен и чувствует себя прекрасно. Остались довольны выполненной работой и профессионализмом специалистов.
15 октября 2025 Отзыв взят с сайта Zoon.ru
5,0
Оксана
Осложнений не было, ребенок не жалуется, значит, все хорошо. Мы воспользовались чисткой, удалением и лечением зубов. Ребенок был под седацией, получил укол и спокойно спал. Отношение врачей нормальное, персонал понравился - я сама была там три года назад и из-за этого пришла снова. Впечатление о работе персонала хорошее, претензий никаких нет, девушка очень хорошая и всё объясняет.
14 октября 2025 Отзыв взят с сайта Zoon.ru
5,0
Гаджиева Барьет
Я осталась довольна результатом! Процедура прошла без боли и не напугала моего ребенка. За один визит сделали много работы - удалили четыре зуба и вылечили три. После удаления дали простые рекомендации: не есть и не пить в течение двух часов. Перед удалением ребенку провели осмотр и сделали снимки, подробно объяснили причины и этапы лечения. Мы были в центре три раза с одним ребенком и один раз с другим.
7 октября 2025 Отзыв взят с сайта Zoon.ru
5,0
Айшат Чулаева
Я осталась очень довольна нашим первым посещением с особым ребенком. Несмотря на мои сильные волнения, все прошло быстро и без сложностей. Сотрудники проявили доброжелательное отношение, внимательно отнеслись к нашей ситуации и грамотно подошли к лечению. Первоначально планировалось удалить один проблемный зуб, но в процессе выявили еще два зуба, которые тоже пролечили. В итоге был удален один зуб, а пульпит пролечен с пломбированием каналов под седацией. После процедуры мне дали подробные рекомендации: прием антибиотика, пробиотика, использование мази и новой зубной щетки.
6 октября 2025 Отзыв взят с сайта Zoon.ru
5,0
Иса
Персонал оставил позитивное впечатление своей внимательностью и искренней заботой. В клинике поддерживается чистота, установлено современное оборудование, созданы все условия для эффективного лечения. Я проходил курс терапии и собираюсь делать имплантацию. Врач Саид Аданович оказался высококлассным профессионалом, а также меня осматривал хирург.
2 октября 2025 Отзыв взят с сайта Zoon.ru
5,0
Анонимный пользователь
Обслуживание и сервис меня полностью устраивают. Особенно мне важно внимание к моим просьбам и комментариям. В последний визит мне корректировали брекет, а ранее его заново закрепляли. Мне импонирует организация работы врача - он выполняет свою работу на высоком уровне. Ко мне, как к пациенту, отношение было доброжелательным и внимательным. Также удобно записываться - мне быстро подобрали удобное время!
30 сентября 2025 Отзыв взят с сайта Zoon.ru
5,0
Саид
Проходил лечение с реставрацией передних зубов. Обезболивание подобрали отличное - совсем не чувствовал дискомфорта. Персонал клиники внимательный, всегда готов был ответить на вопросы. Особенно порадовало отсутствие нареканий к процессу, а качество работы стоматолога оказалось на хорошем уровне.
27 сентября 2025 Отзыв взят с сайта Zoon.ru
5,0
Суайбат Гусейновна
Обслуживание прошло оперативно и профессионально, удобно, что в центре гибкий график работы. Особенно ценно, что удалось найти общий язык с моим ребенком - договорились о наркозе и он спокойно согласился на удаление зуба. Врач дал рекомендации по домашнему уходу, все пояснил. Мы остались довольны работой центра и уже записались на следующее лечение!
26 сентября 2025 Отзыв взят с сайта Zoon.ru
5,0
Рамазан
Мне всё очень понравилось - консультация по поводу лечения прошла вежливо и профессионально. Доктор подробно объяснил дальнейшие шаги, уделил внимание вопросам гигиены и профилактики, хотя конкретных рекомендаций не потребовалось.
20 сентября 2025 Отзыв взят с сайта Zoon.ru
5,0
Хадижат Абдулаева
Мы были на приеме у ортодонта и получили качественную услугу. Прием был хороший, обслужили отлично и консультацию дали замечательную. Спасибо, что есть такие специалисты! Нам объяснили и показали то, чего мы не услышали у других, все сделали на отлично, рассказали, почему нет постоянных зубов.
19 сентября 2025 Отзыв взят с сайта Zoon.ru
5,0
Капия
Для меня очень важно было, чтобы лечение ребенка прошло без боли и сильного стресса, именно так все и получилось. Доктор Гаджи нашел подход к моей дочке, успокоил ее, уверив, что ничего неприятного не будет, и его слова полностью оправдались. Перед лечением пульпита сделали осмотр и рентген, сейчас дочка чувствует себя отлично, ее ничего не беспокоит. Я очень довольна результатом и признательна врачам за их профессионализм и заботу.
18 сентября 2025 Отзыв взят с сайта Zoon.ru
5,0
Гульминат
Моя сестра привела своего ребенка в этот центр и осталась действительно довольна. Она решила вылечить у мальчика около пяти-шести зубов, процесс прошел отлично. Обслуживание ей тоже понравилось, все было просто и понятно. Клинику нам порекомендовали родственники, которые уже обращались сюда и говорили, что лечение здесь на высоком уровне.
17 сентября 2025 Отзыв взят с сайта Zoon.ru
5,0
Мурат
Устроили внимательное отношение работников и высокое качество выполненной работы. Принимала доктор Заира Надировна, она проявила настоящий профессионализм.
17 сентября 2025 Отзыв взят с сайта Zoon.ru
5,0
Мадина
Врач был профессиональным и внимательным, особенно к ребенку. Лечение зубов прошло на высшем уровне. Ребенку назначили антибиотик, жидкое обезболивающее и стоматологический гель. Пришли только один раз, так как лечение сделали очень хорошо.
17 сентября 2025 Отзыв взят с сайта Zoon.ru
5,0
Руслан
Обратились в этот медицинский центр после того, как у дочери случилась неприятность - она упала с электросамоката, получила травму верхней десны и ушиб носа. Нас тщательно осмотрели, врачи подробно всё объяснили, рассказали о возможных вариантах лечения. Предложили зашить рану прямо здесь, но честно порекомендовали обратиться ещё и в центральную больницу, чтобы ребёнка посмотрели профильные специалисты. Осталась довольна консультацией: получила всю необходимую информацию и почувствовала заботу. Сюда пришли по совету знакомого стоматолога, который отметил высокий профессионализм хирургов и врачей этого центра.
17 сентября 2025 Отзыв взят с сайта Zoon.ru
5,0
Амина
Обращались с ребёнком на лечение зубов, остались под отличным впечатлением. Особенно хочу отметить высокий профессионализм врачей и вежливый, дружелюбный коллектив. Наш стоматолог, Сабина Шахапасовна Магомедова, проявила себя как настоящий специалист: внимательная, ответственная, сразу видно, что любит свою работу и разбирается в ней. К ребёнку Сабина Шахапасовна отнеслась очень тепло, так что у нас только положительные эмоции от приёма!
17 сентября 2025 Отзыв взят с сайта Zoon.ru
5,0
Инна
Я осталась очень довольна посещением - вся процедура прошла быстро и без лишнего ожидания, а качество работы на высшем уровне. Моему ребенку сделали чистку зубов, результат действительно видно - зубки стали гораздо чище. Ранее здесь же проводили реставрацию и тогда тоже всё было отлично. Особенно отмечу, что специалисты внимательно отнеслись к ребенку, смогли найти правильный подход и расположить его к себе.
16 сентября 2025 Отзыв взят с сайта Zoon.ru
5,0
Ирина
Сразу за один прием удалось решить все наши проблемы! У сына обнаружили пульпит сразу в нескольких зубах, и нам за одно посещение вылечили целых четыре зуба и установили серебряные коронки. В итоге нам порекомендовали специальный гель и объяснили, как правильно ухаживать за зубами, чистить их и полоскать рот.
16 сентября 2025 Отзыв взят с сайта Zoon.ru
5,0
Магомед-Рашид
Персонал сдержал свои обещания: один зуб вылечили, а другой удалили. Сначала планировали лечить оба, но потом выяснилось, что один зуб уже запущенный и лечение невозможно. Тем не менее, работу выполнили быстро и на высоком уровне. Раньше уже приходили сюда с детьми, тогда также успешно удалили два зуба.
11 сентября 2025 Отзыв взят с сайта Zoon.ru
5,0
Анна
Нас встретили очень тепло, и приём прошёл на высшем уровне. Моему ребёнку сделали комплексное лечение, установили коронки, назначили антибиотики, Rapid, а также новую зубную щётку и пасту. Все эти средства мы купили прямо здесь, в клинике. После процедуры ребёнок легко пришёл в себя после наркоза, сейчас с его здоровьем всё отлично.
11 сентября 2025 Отзыв взят с сайта Zoon.ru
5,0
Патимат
Обратились по рекомендации стоматолога и планируем посетить центр еще, но позже. Пока что получили отличное обслуживание в медицинском центре, врач проявил хорошее отношение и быстро решил нашу проблему с зубом у мальчика. Восстановил зуб с каналом всего за один сеанс, причем без проблем.
10 сентября 2025 Отзыв взят с сайта Zoon.ru
5,0
Дека
Меня устраивает мой узист Джамиля Расуловна, которая очень тщательно все смотрит. Я пришла сюда впервые и выбрала именно этот центр, потому что случайно узнала, что она здесь принимает. Мне очень удобно, что она рядом сейчас. Работу администраторов я тоже оценила — они вежливо все объяснили и сначала не взяли деньги, сказали сначала пойти на УЗИ, а потом уже провести оплату.
3 сентября 2025 Отзыв взят с сайта Zoon.ru
5,0
Гульнара
В прошлом году мы ставили ребенку коронки и пломбы в этом медицинском центре. Доктора проявили внимание, а это очень важно, так как мой ребенок пугливый. После процедуры были даны рекомендации по уходу, мы их соблюдали. Первые три дня немного беспокоил зуб, но потом все зажило. Сначала я сомневалась, что коронки будут держаться, но прошло больше года – и все прекрасно, ничего не беспокоит.
3 сентября 2025 Отзыв взят с сайта Zoon.ru
5,0
Гуля
Благодарю за обслуживание в медицинском центре. Особенно понравилось, как внимательно относились к ребенку. Вылечили кариес молочного зуба за один сеанс и дали стандартные рекомендации по уходу за зубами — утром и вечером чистить. Врач-стоматолог был очень внимательный и хорошо относился к детям, смог расположить ребенка к себе. Посещением центра остались довольны.
3 сентября 2025 Отзыв взят с сайта Zoon.ru
5,0
Мухматдинова
Очень хороший специалист! Она прекрасно справилась со своей задачей и с пониманием отнеслась к особенностям моей 33-летней сестры, у которой ДЦП. Нам пришлось лечить кариес под наркозом из-за сильной боли, и врач нашла подход к моей сестре, легко устанавливая контакт. Общение было очень приятным, а работа выполнена на высоком уровне. В итоге мы остались полностью довольны лечением.
3 сентября 2025 Отзыв взят с сайта Zoon.ru
5,0
Магомед
Я остался очень доволен визитом, так как мне все объяснили доступно и понятно. Ребенка приняли быстро, общение прошло на хорошем уровне. За время приема сделали пломбирование четырех нижних зубов и удалили один. После процедуры ребенок не испытывал боли и чувствовал себя отлично. В целом, мы остались очень довольны качеством обслуживания!
3 сентября 2025 Отзыв взят с сайта Zoon.ru
5,0
Асият Мусаева
Раньше я приходила сюда с детьми, но теперь впервые лечилась сама, и мои зубы по-прежнему в отличном состоянии. Я очень довольна тем, как провели терапевтическое лечение моего зуба под микроскопом - работа выполнена на высоком уровне. Особенно порадовала честность врача: он точно поставил диагноз и откровенно сказал, что не может дать гарантию на лечение, в отличие от других специалистов.
3 сентября 2025 Отзыв взят с сайта Zoon.ru
5,0
Фатима
Мы обратились в этот центр, потому что у нашего ребенка сильно разболелся зуб, а в других местах либо не было записи, либо предлагали ждать слишком долго. Здесь нас приняли сразу! Больше всего я боялась, что у ребенка останется страх перед стоматологами, но Сабина Шахапасовна оказалась настоящим профессионалом - малыш не испытал никакого стресса. Я не присутствовала на приеме, ребенок ходил с папой, и они оба остались довольны. Самое главное - после визита наш мальчик совсем не боялся идти к врачу снова!
2 сентября 2025 Отзыв взят с сайта Zoon.ru
5,0
Зайнаб
Вот уже год мы периодически обращаемся в этот стоматологический центр. Лечили здесь зубы разным детям - и под седацией, и в обычном режиме. В этот раз врач действительно порадовал: быстро провел все манипуляции, нашел общий язык с ребенком, благодаря чему тот даже не испугался. Нам поставили пломбу и железную коронку на два зуба - работа выполнена аккуратно. После процедуры врач подробно объяснил все рекомендации.
2 сентября 2025 Отзыв взят с сайта Zoon.ru
5,0
Анонимный пользователь
Мы с ребенком остались в полном восторге от посещения этой клиники! Персонал встретил нас очень тепло, все сотрудники были внимательными и доброжелательными. Особенно порадовало, как бережно отнеслись к моему малышу. Лечили зубки под седацией - врач сделал всё аккуратно и профессионально. После процедуры сын чувствовал себя прекрасно, никаких осложнений не было. Спасибо за четкие и понятные рекомендации по уходу - мы их строго придерживались, и восстановление прошло легко.
28 августа 2025 Отзыв взят с сайта Zoon.ru
5,0
Анонимный пользователь
Я довольна посещением медицинского центра. Врачи грамотные, всё сделали оперативно и аккуратно. Ребенка не мучили частыми посещениями, а большое количество зуб вылечили за один раз, что большой плюс. Отношение к нему было очень хорошее, сначала делали рентген, фото зубов, а лечение проводили под седацией. После процедуры нам дали все необходимые рекомендации, включая антибиотики и гель.
26 августа 2025 Отзыв взят с сайта Zoon.ru
5,0
Амира
Я регулярно привожу своего сына к доктору Тагиру — уже около пяти раз были у него, и лечили, и зубы удаляли. Это отличный специалист, который умеет найти общий язык с детьми: мой мальчик не боится его и чувствует себя вполне уверенно. Для меня важно, чтобы к детям относились с заботой и выполняли свою работу качественно, и здесь я именно это и вижу.
22 августа 2025 Отзыв взят с сайта Zoon.ru
5,0
Патимат Магомедовна
Меня очень впечатлила профессиональная компетентность специалистов и доброжелательное отношение всего персонала — я действительно почувствовала заботу и внимание после наркоза. Медсестры постоянно интересовались моим самочувствием и предлагали помощь. Лечилась у врача Асият под седацией: мне установили коронку и удалили два зуба. Даже после процедуры меня не оставили без внимания, подробно рассказали, как правильно ухаживать за ротовой полостью.
22 августа 2025 Отзыв взят с сайта Zoon.ru
5,0
Зарема
Хорошее отношение и качественное лечение в центре меня порадовали. Сюда я обращалась с воспалением десны. Врач Гасанова — доброжелательная, профессионал с хорошим подходом. После приема я получила рекомендации и план лечения.
22 августа 2025 Отзыв взят с сайта Zoon.ru
5,0
Хадижат
Мы лечились под седацией и удаляли один зуб. Результатом остались довольны, особенно радует состояние зубов после процедуры. Всё прошло отлично, и ребёнок чувствует себя прекрасно.
21 августа 2025 Отзыв взят с сайта Zoon.ru
5,0
Сания
Мягкость врачей и качество услуг после удаления зуба приятно впечатлили. Удаление зуба прошло очень хорошо, заживление тоже было успешным. Моей дочке пять лет, и она после процедуры чувствовала себя отлично благодаря профессиональному и доброму отношению доктора. Записаться на прием удалось сразу и без очереди, что было очень удобно в связи с острой болью у ребенка. Мой муж тоже врач, и ему посоветовали данную клинику, поэтому выбрали ее.
20 августа 2025 Отзыв взят с сайта Zoon.ru
5,0
Абидат
Я давно пациент этого медицинского центра. Здесь работают профессионалы, цены адекватные и лояльные, поэтому я смело рекомендую центр всем. Была на консультации, а потом на лечении у врача Сабины. Она была доброжелательной и профессиональной, оставила очень хорошее впечатление. Врач была компетентной и отзывчивой, отвечала на все вопросы.
19 августа 2025 Отзыв взят с сайта Zoon.ru
5,0
Тиана
Обратились в центр для лечения глубокого кариеса у ребенка и установки коронок, так как беспокоили зубки. Муж общался с доктором, который подробно объяснил все, в том числе сориентировал по ценам. Важно было быстрое обслуживание и хорошее отношение. Ребенок посетил центр один раз, и все прошло спокойно. Очень довольны уровнем сервиса и результатом.
19 августа 2025 Отзыв взят с сайта Zoon.ru
5,0
Джавгарат
Очень понравилось чуткое отношение и внимание врачей! Консультация стоматолога была грамотная и качественная, я получила понятные объяснения по каждому вопросу. Мне назначили план лечения, скоро начнём его проходить.
19 августа 2025 Отзыв взят с сайта Zoon.ru
5,0
Анонимный пользователь
Приехали в медицинский центр с опухшим зубом жены, вопрос решили как положено. Не пришлось много ждать, приняли отлично. Доктор осмотрел, сказал, что сначала нужно лечить опухшее место, а потом уже ставить пломбу под микроскопом. В общем, лечим, всё в порядке, процедура прошла нормально. Отношение врача было хорошее, консультация и назначенное лечение помогли.
17 августа 2025 Отзыв взят с сайта Zoon.ru
5,0
Алия
С 2,5 лет мой ребенок проходит лечение зубов, также ставили коронки — всё было шикарно, сейчас ребенку семь лет, и всё с зубами в порядке. Лечение проходило быстро, цена была адекватной, за два часа вылечили все зубы и поставили коронки, почти пять лет прошло, и зубы все еще в хорошем состоянии. На приеме с доктором общение было хорошее, всё объяснили коротко и ясно.
17 августа 2025 Отзыв взят с сайта Zoon.ru
5,0
Хадижа
Я очень довольна осталась клиникой.Мы попали к врачу Гаджиевой Патимат , чуткая, добрая, умная доктор .Сразу расположила к себе ребенка , что даже я теперь хочу лечить зубы .
16 августа 2025 Отзыв взят с сайта Zoon.ru
5,0
Тимур
Мы обращались сюда два раза: сначала на консультацию, а потом на лечение зубов дочери под наркозом и установку коронок. Качество работы и отношение очень хорошие. Доктор дотошно объясняет, дает тщательные рекомендации и даже провожает до двери. После лечения ребенка не забывают звонить и интересоваться состоянием здоровья, что очень важно.
15 августа 2025 Отзыв взят с сайта Zoon.ru
5,0
Камила
Обращались в медицинский центр к детскому стоматологу, остались очень довольны! Врач проявила прекрасный подход: подробно всё объяснила, показала и предоставила выбор по лечению зубов. У ребенка были установлены коронки и был пульпит, сделали седацию и качественно пролечили. Особенно понравилось, что специалист дала четкие рекомендации после процедуры. Уже лечили здесь нескольких детей, каждый раз обслуживание на высшем уровне.
14 августа 2025 Отзыв взят с сайта Zoon.ru
5,0
Марианна
В этой стоматологии нам очень помогли, молодцы. Лечили зуб, который очень долго не могли вылечить в других стоматологиях. Вылечили, как положено, под микроскопом. Обращалась самостоятельно. Выбрала центр, потому что просто мимо проходила и зашла в первую стоматологию. Записали нормально, хоть и была очередь, в порядке очереди принял врач. Все сделали хорошо, отношение персонала отличное, очень доброжелательные, хорошие ребята. Посетила центр раза три-четыре с ребенком, пока вылечили наш зуб. Помещение чистое, аккуратное, все замечательно.
14 августа 2025 Отзыв взят с сайта Zoon.ru
5,0
Амина
Приятно впечатлило то, как вылечили зубы ребенку — доктор проявил себя нормально, с трепетным отношением.
14 августа 2025 Отзыв взят с сайта Zoon.ru
5,0
Патимат
Понравился профессионализм и качество обслуживания. Меня сразу приняли и устранили проблему — удалили зуб с гноем, сделали снимок и применили закись азота. После операции дали подробные рекомендации по приему антибиотиков и полосканию. Доктор была доброжелательной молодой девушкой, которая сразу поняла проблему и профессионально ее решила. В целом, все прошло отлично.
13 августа 2025 Отзыв взят с сайта Zoon.ru
5,0
Эльмира
Очень довольна всем обслуживанием в течение полутора лет: лечением, имплантацией, пластикой мягких тканей и установкой коронок из циркония. Врач подробно объяснил преимущества разных коронок, и мы выбрали лучшие. Рекомендовал тщательно соблюдать гигиену после каждого приема и обращаться к врачу при необходимости, а также регулярно на профосмотры и чистки. Особенно хочется отметить доктора Саида Адановича за его замечательный подход и комфортную атмосферу — в его кабинете чувствуешь себя спокойно и уверенно. Еще хотела бы отметить врача Гаджирабадана который занимался имплантацией.
13 августа 2025 Отзыв взят с сайта Zoon.ru
5,0
Зульфия
Очень понравился сервис в медицинском центре — быстро записали, поняли нашу ситуацию. Особенно впечатлило отношение детского стоматолога: к ребенку нашел подход, провел лечение кариеса. Скоро еще запишемся к ортодонту.
13 августа 2025 Отзыв взят с сайта Zoon.ru
5,0
Фатимат
Очень внимательные врачи, чуткие. Оборудование новое, применяют современные методы лечения. В других клиниках часто не сохраняют молочные зубы, а здесь врачи очень внимательны к этому. Обращались с пульпитом у ребенка — смогли сохранить зуб, всё прошло отлично. Уже в четвертый раз посещаем центр и очень довольны!
8 августа 2025 Отзыв взят с сайта Zoon.ru
5,0
Гульмира
Наш лечащий врач Асият Расуловна Арсланалиева очень внимательно и тщательно подходит к осмотру и лечению. Более года назад ребенку установили коронки на разрушенные зубы, и сейчас он прекрасно их носит без каких-либо проблем. Когда возникли вопросы или жалобы от ребенка, доктор оперативно всё проверила и ответила на все наши вопросы. Мы более чем довольны результатом процедур.
7 августа 2025 Отзыв взят с сайта Zoon.ru
5,0
Ахмед Абдулаев
В прошлом году мы посещали центр, остались с хорошими впечатлениями, хотим вернуться к Патимат Асельдаровне Гаджиевой вновь. Врач лечила кариес нашему ребенку, теперь зубы не болят, будем заниматься другими. Её работой мы остались довольны!
6 августа 2025 Отзыв взят с сайта Zoon.ru
5,0
Загра
Очень понравилось, что сразу провели к детскому стоматологу и проконсультировали. Доктор осмотрел визуально, всё объяснил, назвал цену, чтобы я знала, на что рассчитывать. Отношение к ребенку было аккуратное и нормальное. Рекомендаций не было, нам просто сказали, какие зубы будут лечить и какой будет расход.
4 августа 2025 Отзыв взят с сайта Zoon.ru
5,0
Варвара
Мы обращались в центр несколько раз, лечили зубы и со старшим сыном, и с младшим. Персонал и врач, который удалил зуб ребенку, были с нами очень приветливы. Доктор от и до всё объяснил, рассказал, как что следует делать после, и проговорил план лечения. Плюс был отзывчив, дал все рекомендации, подробно ответил на все вопросы, и отношение к пациенту было теплым и приятным, пытался его расположить и успокоить. Нам понравилась и анестезиолог, которая быстро и аккуратно поставила катетер, отвлекая ребенка, чтобы он даже не заплакал.
4 августа 2025 Отзыв взят с сайта Zoon.ru
5,0
Лейла
Два года назад и недавно посещали этот медицинский центр с ребенком. Очень понравился вежливый и профессиональный персонал, особенно умение врачей разговаривать с детьми и использовать более нежный тон, чтобы отвлечь ребенка. Вчера была консультация у Сабины Шахапасовны, но так как она была занята, нас перенаправили к другому специалисту, Асият, и все сделали быстро и хорошо. Нареканий нет, ведь и раньше, когда лечили под седацией, все было замечательно. Рекомендовала центр своим знакомым, так как сама получила хороший опыт.
4 августа 2025 Отзыв взят с сайта Zoon.ru
5,0
Анонимный пользователь
Мы довольны работой нашего врача. Нравится её вежливое отношение и аккуратное обращение, особенно к ребёнку, с которым мы были. Для меня главное — чтобы не было грубости, чтобы внимание было уделено пациентам.
31 июля 2025 Отзыв взят с сайта Zoon.ru
5,0
Фаина
Очень понравилось отношение к ребенку, особенно врача Асият Расуловны. Она отличный специалист, умеет успокоить и найти подход к ребенку — лечимся у нее уже несколько лет. Сначала делали процедуры под седацией, лечили 6 зубиков, молочных и постоянных, и удаляли зубы, а теперь ребенок спокойно переносит лечение без седации.
31 июля 2025 Отзыв взят с сайта Zoon.ru
5,0
Анонимный пользователь
Мне посоветовали этот центр. Понравился врач, грамотный профессионал, плюс он согласился лечить зуб ребенку без наркоза, без седации.
30 июля 2025 Отзыв взят с сайта Zoon.ru
5,0
Индира Самедова
Лечили мальчику4 года зубы под ключ . Такая милая и грамотная девушка.Знает свою работу .Всем советую этого врача и клинику 👍🏻. Все стерильно и чисто . Молодцы .Процветания вашей клинике !
29 июля 2025 Отзыв взят с сайта Zoon.ru
5,0
Руслан
Я постоянный клиент центра уже четыре года. За последнее посещение удалили три зуба моему сыну, причем без проблем. Отношения с врачами и персоналом нормальные, никаких трудностей с записью нет. Цены тоже хорошие, всё проходит удобно и без лишних вопросов.
29 июля 2025 Отзыв взят с сайта Zoon.ru
5,0
Аида
Персонал в медицинском центре внимательный, стараются угодить, не заставляют долго ждать. В клинике чисто, есть уголок для детей. Мы уже не первый раз обращаемся сюда, и на этот раз была консультация и лечение зубов моего трёхлетнего мальчика. Анестезиолог подробно объяснила, какие анализы нужно сдать, и как подготовиться заранее. У нас было две консультации и одно лечение, всё прошло хорошо.
24 июля 2025 Отзыв взят с сайта Zoon.ru
5,0
Марина
Профессионализм Асият Расуловны и безболезненное удаление зуба у ребёнка нас порадовали. Дочь даже не почувствовала дискомфорта, так как стоматолог прекрасно отвлекала её во время процедуры. Всё было сделано быстро и своевременно. Мы довольны обслуживанием и планируем прийти в августе к ортодонту для установки пластин. Плюс ранее, два года назад, мы лечили зубы под седацией, тогда тоже остались довольны результатом процедуры.
24 июля 2025 Отзыв взят с сайта Zoon.ru
5,0
Ахмед Абдулаев
В прошлом году мы посещали центр, остались с хорошими впечатлениями, хотим вернуться к Патимат Асельдаровне Гаджиевой вновь. Врач лечила кариес нашему ребенку, теперь зубы не болят, будем заниматься другими. Её работой мы остались довольны!
21 июля 2025 Отзыв взят с сайта Zoon.ru
5,0
Калимат Исаева
Персонал был приветливый, всё четко объяснили. Отдельно хочу выделить доктора Сабину Шахапасовну Магомедову за ее чуткость и качественное лечение. После лечения пульпита, удаления зубов и установки коронки не было никаких последствий, всё хорошо зажило. Оборудование на высшем уровне, в центре чисто и комфортно.
21 июля 2025 Отзыв взят с сайта Zoon.ru
5,0
Асият
Прием прошел хорошо, была сделана операция, хирург подрезал уздечку. У ребенка потом не было осложнений, все нормально, поэтому мы довольны качеством услуги.
18 июля 2025 Отзыв взят с сайта Zoon.ru
5,0
Патимат
Врачи действительно компетентные и доброжелательные. У меня было удаление двух зубов мудрости, и всё прошло настолько безболезненно и легко, что я даже удивилась. Реабилитация тоже была быстрой! У нас с детьми уже есть опыт обращения в эту клинику — сначала лечили детей, удаляли им зубки и устанавливали специальные приспособления, чтобы у коренных зубов была правильная форма, а потом и я решилась. Очень рада, что попали к таким профессионалам, старший сын лечился у Гаджи Курбанова Мухаммада!
11 июля 2025 Отзыв взят с сайта Zoon.ru
5,0
Динара
Удаляли зуб ребенку, всё понравилось, обслуживание было быстрым и аккуратным, всё сделали без боли и страха. Даже скинули фотографии, что было неожиданно. Всё прошло нормально, без последствий.
7 июля 2025 Отзыв взят с сайта Zoon.ru
5,0
Патимат
Нам очень понравился осмотр и консультация, доктор всё подробно рассказал и ответил на все наши вопросы. Консультацию проводил терапевт, который был спокойным и уверенным. После приема нам порекомендовали вылечить зубы, и мы скоро планируем это сделать.
2 июля 2025 Отзыв взят с сайта Zoon.ru
5,0
Раяна
В полном восторге от лечения у стоматолога Сабины! Удивительно, но всё зажило всего за три дня вместо ожидаемых пяти — такой результат говорит о высочайшем профессионализме врача. Особенно хочу отметить деликатный подход и внимательное отношение: Сабина не просто качественно выполнила работу, но и создала комфортную атмосферу во время приёма. Теперь с уверенностью могу рекомендовать этого специалиста всем знакомым — это действительно врач, которому можно доверять здоровье своих зубов без сомнений!
1 июля 2025 Отзыв взят с сайта Zoon.ru
5,0
Хадижат Исмаилова
Понравился хороший врач и коллектив. Доктор Асият Расуловна вежливо и грамотно подходила к делу, нашла общий язык с ребенком, который изначально не открывал рот. Лечили зуб, доктор смогла убедить ребенка и провести лечение.
27 июня 2025 Отзыв взят с сайта Zoon.ru
5,0
Хадижа
В клинике делаю профессиональную чистку зубов — эффект держится значительно дольше, чем в других местах, что подтверждает качество работы. Муж лечил зубы у доктора Абдулы, который проявил себя как внимательный специалист: не отвлекался во время процедур, использовал хорошие материалы, и результат полностью оправдал ожидания.
27 июня 2025 Отзыв взят с сайта Zoon.ru
5,0
Динара
Клиника новая, очень чистая и уютная! Делала реставрацию зубов, а также лечение у доктора Лейла Хасановна. Качество услуг на высшем уровне: всё аккуратно, профессионально, я полностью довольна.
27 июня 2025 Отзыв взят с сайта Zoon.ru
Удалить отзыв
Популярные услуги
Удаление зубов
от 1500 руб.
Виниры
14000 руб.
Базовая стоматология
от 500 руб.
Стоматологическая клиника
уточняйте по телефону
Имплантация зубов
от 7000 руб.
Отбеливание зубов
уточняйте по телефону
Металлокерамика на зубы
уточняйте по телефону
Ортодонтия
от 500 руб.
Ортопедическая стоматология
2000 руб.
Установка брекетов
от 10000 руб.
Остались вопросы?
Вы можете воспользоваться любым из указанных способов связи
Контактный номер
+7 (988) 220-09-...
Показать